Acinic Cell Carcinoma – Causes, Symptoms, Diagnosis & Management
Abstract
Acinic cell carcinoma (AciCC) is a rare malignant neoplasm predominantly arising in the salivary gland, most commonly the parotid gland. Traditionally considered a low-grade carcinoma, AciCC exhibits diverse histological patterns and may recur locally or metastasize distantly despite indolent behavior. It accounts for approximately 6–10% of all salivary gland malignancies, with a slight female preponderance and incidence across a broad age range, including children. This article synthesizes current evidence on its etiopathogenesis, clinical presentation, diagnostic workup, management strategies, and insights from Ayurvedic perspectives on supportive and integrative care.
Introduction
Acinic cell carcinoma (AciCC) is a distinct subtype of salivary gland carcinoma characterized by cells demonstrating differentiation toward serous acinar cells of salivary tissue. These tumors mostly originate within the parotid gland and represent one of the less common malignant salivary neoplasms, constituting 6–10% of such cancers. Although initially described in the late 19th century, the malignant potential of these tumors has historically been underestimated due to their low-grade histology and deceptively benign appearance. Nonetheless, AciCC displays significant biological variability ranging from indolent lesions to aggressive forms with recurrence or metastasis.

Causes
The exact cause of acinic cell carcinoma remains poorly understood, as with many cancers. However, several factors have been associated with increased risk:
- Radiation exposure: Prior therapeutic irradiation of the head and neck region has been linked to a higher incidence of salivary gland malignancies, including AciCC.
- Genetic predisposition: Although rare, familial clustering suggests potential hereditary influences in some cases.
- Acinar cell transformation: AciCC arises from serous acinar cells or stem cell progenitors within salivary gland ductal epithelium, reflecting cellular transformation mechanisms.
Despite these associations, most cases occur sporadically, and definitive causative mechanisms are yet to be fully known.
Signs and Symptoms
AciCC typically presents with the following clinical features:
- Painless swelling or mass in the region of the affected salivary gland, most often the parotid. The mass is usually slow-growing, firm, and mobile in early stages.
- Facial nerve involvement may occur in more advanced disease, leading to weakness or paralysis on the affected side.
- Local discomfort, tenderness, or pain may occasionally accompany the lesion, especially if secondary inflammation or rapid growth is present.
- Lymphadenopathy or distant metastatic symptoms (e.g., respiratory complaints from lung involvement) are less frequent but significant in advanced disease.
Investigations
Accurate diagnosis of AciCC requires a multimodal approach:
- Clinical Evaluation: Detailed history and physical examination focusing on lesion characteristics and involvement of adjacent structures.
- Imaging
- Ultrasonography: Initial assessment for lesion size, morphology, and vascularity.
- Magnetic Resonance Imaging (MRI) / CT Scan: Detailed assessment of tumor extent, perineural invasion, and regional anatomy.
- Fine Needle Aspiration Cytology (FNAC): Often the first cytological diagnostic tool; it can detect acinar differentiation but may occasionally be inconclusive due to overlapping features with benign lesions.
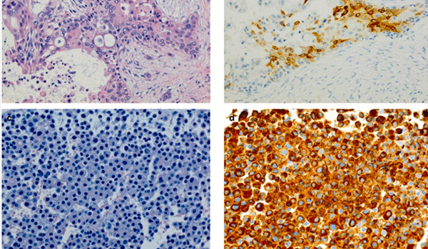
- Histopathology: Gold standard for definitive diagnosis demonstrating characteristic acinar cell patterns with immunohistochemical profiling to distinguish from other salivary neoplasms.
- Staging Investigations: Chest imaging, bone scans, or PET-CT may be indicated if metastasis is suspected.
Management
Surgical Treatment
Surgery remains the cornerstone of AciCC management:
- Primary Surgical Excision
- Neck Dissection
Adjuvant Therapy
- Radiotherapy: Often recommended in cases with positive margins, high-grade histology, perineural invasion, or recurrent disease..
- Chemotherapy: Its role remains limited and is generally reserved for advanced metastatic or refractory disease.
Ayurvedic Aspect and Management
In classical Ayurveda, disease processes that involve abnormal tissue growth and non-healing masses share similarities with concepts such as Arbuda (tumor), and Dushta Vrana (chronic non-healing wound). While direct correlations to a specific histological entity like acinic cell carcinoma are not described in classical texts, the Ayurvedic approach emphasizes systemic balance and holistic care.
When the doshas become severely vitiated throughout the body, they localize in the Mamsa Dhatu (muscle tissue) and give rise to a deep-seated, firm, oval swelling that is fixed in nature, painless or associated with mild pain, slowly progressive, and non-suppurative. Such swelling is described in Ayurveda as Arbuda (tumor-like growth).
In Arbuda usually all the doshas are vitiated however Vata and Kapha doshas, leads to abnormal cell proliferation and stagnation. Chronic imbalances can lead to impaired Rasa (plasma) and Mamsa (muscle/tissue) dhatu, resulting in mass formation and loss of normal function. Management includes Detoxification procedures, including Virechana (therapeutic purgation) and Basti (medicated enema), tailored to individual constitution and tumor-associated symptoms. It is followed by Shaman Therapy (Pacifying therapy). Herbs and formulations aimed at enhancing immune response, reducing oxidative stress, and supporting tissue homeostasis and reducing uncontrolled cellular growth are used such as Ashwagandha (Withania somnifera), Guduchi (Tinospora cordifolia), Turmeric (Curcuma longa), Neem (Azadirachta indica) and others. Moreover, emphasis on light, easily digestible meals, antioxidants, and avoidance of processed or heavy foods is indicated. Additionally, for any associated ulceration or local symptoms, medicated pastes, washes Kwath), and oils (Taila) like Yashtimadhu ghrita or Panchavalkal kwath may be used.
Herbal Remedies by Planet Ayurveda for Acinic Cell Carcinoma
Planet Ayurveda is a renowned Ayurvedic healthcare brand dedicated to promoting holistic wellness through authentic herbal formulations. Rooted in classical Ayurvedic principles, the company offers a wide range of plant-based products designed to support overall health, balance, and vitality. Emphasizing purity, safety, and efficacy, Planet Ayurveda combines traditional Ayurvedic wisdom with modern quality standards. Its carefully crafted supplements and care packs provide natural solutions for various health concerns, making it a trusted choice for long-term well-being and preventive healthcare. Planet Ayurveda is more than happy to present its list of products for the management of Acinic cell carcinoma.
Product description
- Kanchnaar Guggul
- Crab Baccata Capsules
- Crab Go Capsules
- Crab Curcumin 95%
- Chandraprabha Vati
Product description
1. Kanchnaar Guggul
Kanchnaar Guggul is a classical ayurvedic formulation and has properties of detoxification, anti-inflammatory action, and tissue normalization. It is primarily indicated for abnormal glandular swellings (Granthi/Arbuda) and works by pacifying Vata and Kapha doshas, enhancing metabolic fire (Agni), and promoting systemic immunity. Its ingredients, including Kanchnaar (Bauhinia variegata) and Guggul resin (Commiphora mukul), provide antioxidant effects, reduce oxidative stress, and support lymphatic detoxification, which aid in improving tissue health and reducing inflammation and growth. Kanchnaar Guggul supports overall resilience, assists in managing local tissue irregularities, and enhances quality of life and manages Acinic cell carcinoma.
Dosage : Two tablets twice a day.
2. Crab Baccata Capsules
Planet Ayurveda’s Crab Baccata Capsules are formulated using a standardized extract of Taxus baccata (Thuner), a medicinal herb valued for its anti‑inflammatory (Shothaghna) properties and ability to assist in managing chronic malignant inflammation and abnormal growths in the body. The key bioactive component associated with Taxus baccata is taxol (paclitaxel), a well‑studied diterpene alkaloid known for its cytotoxic action on dividing cells, ability to induce apoptosis (programmed cell death), and interference with microtubule function, mechanisms that are central to conventional chemotherapeutic strategies against cancerous cells. Paclitaxel’s action on microtubules helps prevent uncontrolled cell division, which is a hallmark of malignancies. Furthermore, helping to support detoxification, balance of doshas (especially Kapha involved in growth/stagnation), and enhancing the strength and functioning of healthy cells. Hence, Crab Baccata Capsules help mitigate inflammation, support immune resilience, and aid in regulating aberrant cellular activity in Acinic cell carcinoma.
Dosage : One capsule twice a day.
3. Crab Go Capsule
Crab Go Capsules from Planet Ayurveda has anti‑inflammatory, antioxidant, cytoprotective, and immune‑modulating properties, which help the body cope with abnormal cell growth and systemic stress associated with malignancy. Crab Go Capsules are formulated with standardized extracts of herbs such as Ashwagandha (Withania somnifera), Shatavari (Asparagus racemosus), Turmeric (Curcuma longa) and others that contain bioactive compounds like withanolides, withaferin‑A, saponins, and shatavarin. These constituents exhibit cytotoxic effects on abnormal cells, help reduce free‑radical generation, and lower systemic inflammation, mechanisms that are relevant in the context of tumor biology where oxidative stress and chronic inflammation contribute to cancer progression. By supporting the immune system and reducing oxidative damage, Crab Go helps improve overall tissue health and resilience, assists in managing symptoms associated with abnormal growth and helps in the management of Acinic cell carcinoma.
Dosage : Two capsules twice a day.
4. Crab Curcumin 95%
Planet Ayurveda’s Crab Curcumin 95% Capsules contain a standardized extract of curcumin (from Curcuma longa), a potent polyphenolic compound with well‑studied anti‑inflammatory, antioxidant, and anti‑tumor properties. Curcumin has been shown in research to modulate multiple cellular pathways involved in cancer by inhibiting cell proliferation, promoting apoptosis (programmed cell death), and interfering with signaling molecules that support tumor growth and invasion such as NF‑κB, STAT3, COX‑2, and growth factors. It also helps suppress chronic inflammation and oxidative stress, which are key contributors to cancer progression. Additionally, curcumin’s antioxidant activity helps protect normal tissues from treatment‑related oxidative damage and improve overall cellular health and immunity. Crab Curcumin 95% capsules enhance systemic balance and support detoxification. This way, the capsules help in the management of Acinic cell carcinoma.
Dosage : One capsule twice a day.
5. Chandraprabha Vati
Chandraprabha Vati is a classical ayurvedic medicine that helps in a number of conditions. It is used to pacify all three doshas (Vata, Pitta, Kapha), support digestion (Agni), and promote efficient elimination of Ama (toxins). The formulation helps reduce chronic inflammation, oxidative stress, and metabolic stagnation, thereby improving tissue health, immune function, and overall vitality. Some key ingredients of Chandraprabha Vati include Shilajit (Asphaltum), Guggul (Commiphora mukul), Loha Bhasma (incinerated iron), Abhraka Bhasma (processed mica), Vacha (Acorus calamus), and Haritaki (Terminalia chebula), each contributing detoxification, rejuvenation (rasayana), and metabolic support. Chandraprabha Vati helps improve quality of life and systemic strength in patients with Acinic Cell Carcinoma.
Dosage : Two tablets twice a day.
Conclusion
Acinic cell carcinoma is a rare but clinically significant salivary gland malignancy that requires timely diagnosis, appropriate surgical management, and long-term follow-up due to its potential for recurrence and metastasis despite an often indolent course. While conventional treatment modalities such as surgery, radiotherapy, and selective chemotherapy remain the cornerstone of management, an integrative approach can play a valuable supportive role. Ayurveda offers a holistic framework for addressing systemic imbalances associated with Arbuda, focusing on detoxification, dosha pacification, immune modulation, and restoration of tissue health. Planet Ayurveda’s herbal formulations help reduce inflammation and oxidative stress, support metabolic and immune function, and enhance overall strength and quality of life. When used judiciously under expert supervision alongside standard oncological care, Ayurvedic therapies provide meaningful complementary support in the comprehensive management of Acinic Cell Carcinoma.




